Hematology

Written on 02/01/2025

How Does Erythropoiesis Work? Understanding Red Blood Cell Formation, Iron, B12, and Folate's Role in Anemia and Polycythemia.

Erythropoiesis, the process of red blood cell (RBC) formation, is essential for maintaining oxygen transport throughout the body. This intricate process involves multiple factors, including erythropoietin (EPO), iron, vitamin B12, and folate. Understanding these components is crucial for comprehending conditions like anemia and polycythemia. Read more

Written on 02/04/2025

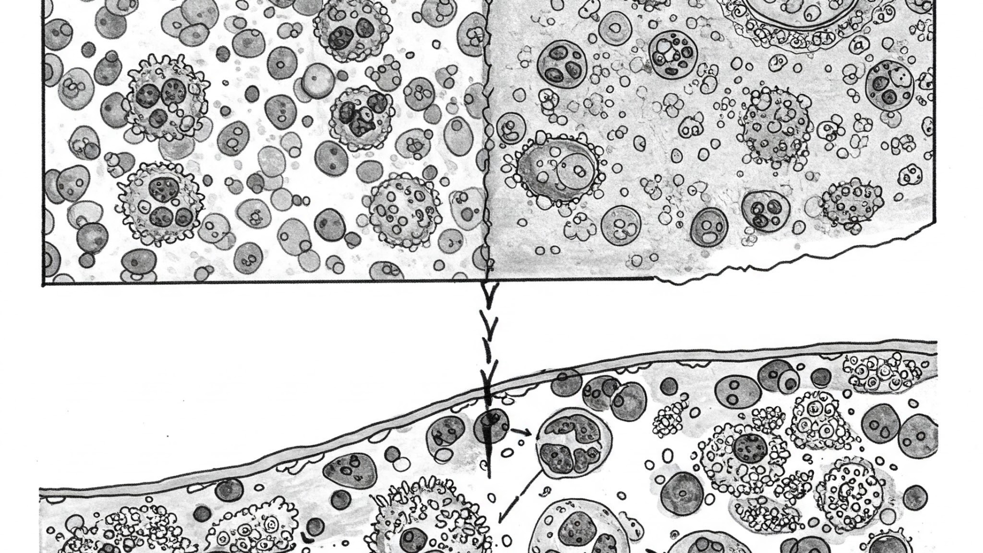
Leukemoid Reaction vs. CML: How to Differentiate and When to Suspect Each Condition?

Understanding the difference between a leukemoid reaction and chronic myelogenous leukemia (CML) is crucial for accurate diagnosis and appropriate patient management. This blog post will delve into the key distinctions, causes, and diagnostic approaches for these two conditions. Read more

Written on 02/13/2025

How does plasminogen activator inhibitor (PAI) regulate fibrinolysis and what are the clinical implications of PAI deficiency or excess?

Fibrinolysis, the process of breaking down blood clots, is a crucial part of hemostasis. Plasminogen activator inhibitor (PAI) plays a vital role in regulating this process. Understanding PAI's function and its clinical implications is essential for comprehending bleeding and coagulation disorders. Read more